Cas clinique : Procodile Q par Rafaël Michiels
Introduction :
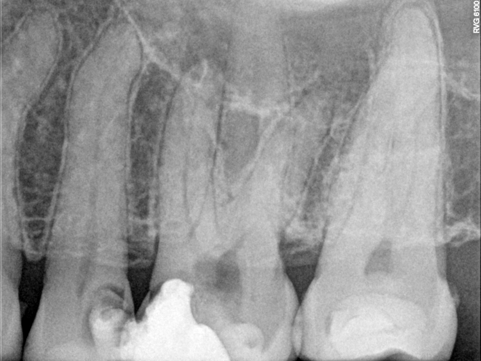
Ce patient de 40 ans, sans antécédents médicaux, a été adressé pour un traitement endodontique de la dent 26. La dent s’est nécrosée en raison d’une reprise de carie. Une obturation provisoire a été mise en place avant le début du traitement endodontique.

Nettoyage et mise en forme :
La longueur de travail a été déterminée à l'aide des limes manuelles 08. Le cathétérisme a été créé à l'aide de limes manuelles 08, 10 et 15. La préparation canalaire a été réalisée avec la lime Procodile Q 25.06 (diamètre 25 et conicité de 6%). Dans la majorité des cas, cette taille est suffisante pour l'ensemble de la préparation, de sorte qu'une seule lime à mouvement alternatif permet de réaliser toute la préparation canalaire. Cela permet d’avoir un protocole efficace et un travail prévisible. Le design de la lime Procodile Q permet une remontée efficace des débris. Il est indispensable au fur et à mesure de la mise en forme de bien éliminer les débris des spires de l’instrument.
Durant tout le traitement, le canal est rincé avec de l'hypochlorite de sodium à 5,25%. À la fin de la séquence, l’irrigant est activé à l’aide d’ultrasons.
Après la préparation, les canaux sont rincés pendant 1 à 3 minutes avec de l'acide citrique à 40% pour éliminer la boue dentinaire. Les canaux sont ensuite séchés avec des pointes de papier.
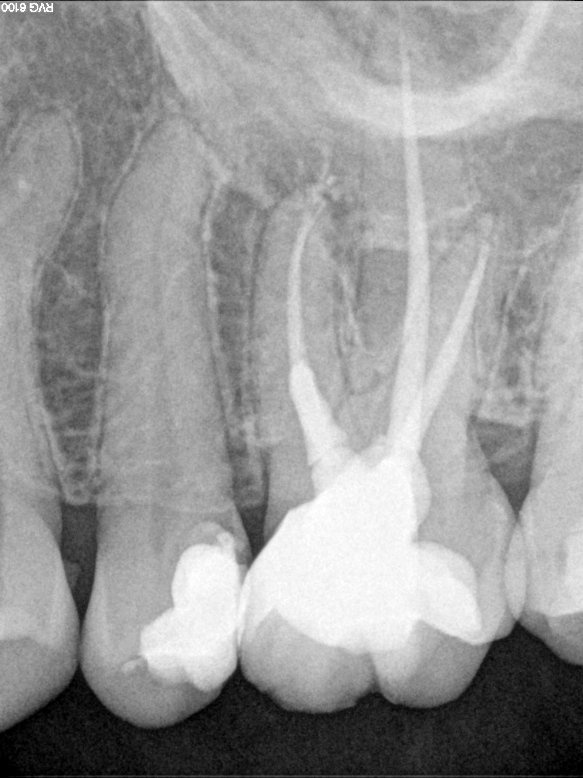
Obturation :
Les cônes de guttas correspondants sont sélectionnés et le scellement à l’aide d’un ciment biocéramique (Ceraseal) est appliqué dans le canal à l'aide d'un lentulo. Les cônes de gutta sont ensuite coupés à l’entrée des canaux.

Conclusion :
Le nouveau système Procodile Q de Komet permet une préparation canalaire très efficace avec un minimum de limes. Cela permet de travailler plus rapidement. Le mouvement alternatif entraîne moins de risque de casse et le nombre limité de limes réduit également le coût du matériel. Le scellement biocéramique permet d'utiliser la technique du cône unique. Cette technique est plus rapide et plus facile à réaliser. En résumé, la combinaison des limes Procodile Q avec le scellement biocéramique Ceraseal garantit un traitement canalaire rapide, simple et prévisible.
Rafaël Michiels